第二節 高血壓
高血壓(hypertension)為人類最常見的疾病之一,據流行病學調查,估計我國現有高血壓患者約5000萬人,每年新發病例約120萬人。廣義而言,體循環長期持續的不正常的血壓升高稱為高血壓。
正常人的血壓在不同的生理狀況下有一定的波動幅度。收縮壓和舒張壓均隨年齡的增長而升高,但是,舒張壓升高不明顯。因此,舒張壓升高是判斷高血壓的重要依據。據世界衛生組織(WHO)建議,高血壓的診斷標準如下:
1.正常成人血壓 收縮壓為18.6kPa(140mmHg)或以下,舒張壓在12kPa(90mmHg)或以下。
2.成年人高血壓 收縮壓為21.3kPa(160mmHg)或以上和(或)舒張壓在12.6kPa(95mmHg)或以上。
3.臨界性高血壓 收縮壓高于18.6kPa而低于21.3kPa,舒張壓高于12kPa而低于12.6kPa。
高血壓可分為特發性高血壓(essential hypertension)和繼發性高血壓(secondary hypertension)。前者又稱原發性高血壓(primary hypertension),后者又稱為癥狀性高血壓(symptomatic hypertension)。前者原因尚未完全明了,后者由某些疾病引起,如慢性腎小球腎炎、腎動脈狹窄、腎上腺和垂體的腫瘤等。本節僅敘述原發性高血壓,繼發性高血壓將在以后各章節有關疾病中述及。
原發性高血壓比較常見,多發生于中年(35~40歲)以后,男性與女性的患病率無明顯差別。
一、病因和發病機制原發性高血壓的病因和發病機制尚未完全明了,近年來,隨著生理學、遺傳學、神經內分泌學及分子生物學的發展,以及自發性高血壓大鼠模型的建立,許多研究已達到分子水平。目前,各種學說中以Page的鑲嵌學說(mosaic theory)比較全面,認為高血壓并非由單一因素引起,而是由彼此之間相互影響的多種因素造成。
1.遺傳因素 約75%的原發性高血壓患者具有遺傳素質(genetic predisposition),同一家族中高血壓患者常集中出現。據信原發性高血壓是多基因遺傳病。據報道,高血壓患者及有高血壓家族史而血壓正常者有跨膜電解質轉運紊亂,其血清中有一種激素樣物質,可抑制Na+/K+-ATP酶活性,以致鈉鉀泵功能降低,導致細胞內Na+、Ca2+濃度增加,動脈壁SMC收縮加強,腎上腺素能受體(adrenergic receptor)密度增加,血管反應性加強。這些都有助于動脈血壓升高。近來研究發現,血管緊張素(AGT)基因可能有15種缺陷,正常血壓的人偶見缺陷,而高血壓患者在AGT基因上的3個特定部位均有相同的變異。患高血壓的兄弟或姐妹可獲得父母的AGT基因的同一拷貝。有這種遺傳缺隱的高血壓患者,其血漿血管緊張素原水平高于對照組。
2.膳食電解質 一般而言,日均攝鹽量高的人群,其血壓升高百分率或平均血壓高于攝鹽量低者。WHO在預防高血壓措施中建議每人每日攝鹽量應控制在5g以下。一項由32個國家參加共53個中心關于電解質與血壓關系的研究結果表明,中國人群尿鈉平均值為206mmol/24h,比其它中心高43mmol/24h,尿鈉/鉀比達6.7,是其它中心的2倍多。尿鈉最高的是天津(242mmol/24h)。這與中國膳食的高鈉、低鉀有關。鉀能促進排鈉,吃大量蔬菜可增加鉀攝入量,有可能保護動脈不受鈉的不良作用影響。鈣可減輕鈉的升壓作用,我國膳食普遍低鈣,可能加重鈉/鉀對血壓的作用。增加膳食鈣攝量的干預研究表明,鈣的增加使有些患者血壓降低。
3.社會心理應激 據調查表明,社會心理應激與高血壓發病有密切關系。應激性生活事件包括:父母早亡、失戀、喪偶、家庭成員車禍死亡、病殘、家庭破裂、經濟政治沖擊等。遭受生活事件刺激者高血壓患病率比對照組高。據認為,社會心理應激可改變體內激素平衡,從而影響所有代謝過程。
4.腎因素 腎髓質間質細胞分泌抗高血壓脂質如前列腺素、抗高血壓中性腎髓質脂等分泌失調,排鈉功能障礙均可能與高血壓發病有關。
5.神經內分泌因素 一般認為,細動脈的交感神經纖維興奮性增強是本病發病的重要神經因素。但是,交感神經節后纖維有兩類:①縮血管纖維,遞質為神經肽Y(neuropeptide Y,NPY)及去甲腎上腺素;②擴血管纖維,遞質為降鈣素基因相關肽(calcitonin gene related peptide,CGRP)及P物質。這兩種纖維功能失衡,即前者功能強于后者時,才引起血壓升高。近年來,中樞神經遞質和神經肽,以及各種調節肽與高血壓的關系已成為十分活躍的研究領域。據報道,CGRP可能抑制大鼠下丘腦去甲腎上腺素的釋放,在外周它可能抑制腎上腺神經受刺激時去甲腎上腺素的釋放。有報道,從哺乳動物心臟和腦中分離出利鈉肽(A、B及C型),啟示了人體內有一個利鈉肽家族。近來在局部腎素-血管緊張素系統(RAS)的研究取得了新進展。將小鼠腎素基因(Ren-2基因)經微注射裝置注入大鼠卵細胞,形成了轉基因大鼠種系TGR(mREN2)27,這種動物血壓極高。用Northern印跡雜交法證明,Ren-2轉基因表達在腎上腺、血管、胃腸及腦,并可表達于胸腺、生殖系統和腎。由于其表達于血管壁,可能使血管的血管緊張素形成增加,從而發生高血壓和血管SMC肥大。
二、類型和病理變化(一)良性高血壓
良必高血壓(benign hypertension)又稱緩進型高血壓。早期多無癥狀,往往是偶然發現。開始表現為全身細動脈和小動脈痙攣,呈間斷性,血壓亦處于波動狀態,其后血壓呈持續性升高。出現心血管并發癥者,如冠狀動脈粥樣硬化,促進疾病的進展。晚期可因心力衰竭、心肌梗死或腦出血致死。因腎功能衰竭致死者少見。
1.動脈系統病變
(1)細動脈:是指中膜僅有1~2層SMC的細動脈(arteriole)及直徑約1mm 及以下的最小動脈。常累及腹腔器官、視網膜及腎上腺包膜的細動脈,最嚴重的是腎臟入球動脈。由于細動脈反復痙攣,血管內壓持續升高,內皮細胞雖可通過其細胞骨架的適應性來加強適應,但仍不能承受血管內壓力升高的作用而被分開,內皮細胞間間隙擴大,血漿蛋白(含免疫球蛋白及纖維蛋白原)滲入內皮下間隙。局部區域中膜SMC可發生壞死,溶酶體酶釋出,并可引起局部性蛋白溶解,以致該處管壁通透性升高。血漿蛋白的滲入連同由未壞死SMC產生的修復性膠原纖維及蛋白多糖使細動脈壁細胞愈來愈減少而陷于玻璃樣變,形成細動脈硬化(arteriolosclerosis)。鏡檢下,細動脈內皮與中膜SMC之間有玻璃樣物質沉積,其內的膠原纖維亦陷于均質化。隨著疾病的發展,細動脈管壁愈來愈增厚、變硬,管腔狹窄,甚至可使管腔閉塞。
(2)肌型器官動脈:主要累及冠狀動脈、腦動脈及腎動脈(弓形及小葉間動脈常被累及)。表現為中膜SMC肥大和增生,中膜內膠原、彈性纖維及蛋白多糖增加,使中膜增厚。內膜亦有血漿蛋白滲入,SMC增生,產生膠原和彈性纖維,內彈力膜分裂,管腔可有某種程度狹窄。
2.心臟的病變 主要為左心室肥大,這是對持續性血壓升高,心肌工作負荷增加的一種適應性反應。在心臟處于代償期時,肥大的心臟心腔不擴張,甚至略微縮小,稱為向心性肥大(concentric hypertrophy)。心臟重量增加,一般達400g以上,甚至可增重1倍。肉眼觀,左心室壁增厚,可達1.5~2cm;左心室乳頭肌和肉柱明顯增粗(圖8-11)。鏡檢下,肥大的心肌細胞變粗,變長,并有較多分支。細胞核較長、較大(可形成多倍體)。由于不斷增大的心肌細胞與毛細血管供養之間的不相適應,加上高血壓性血管病,以及并發動脈粥樣硬化所致的血供不足,便導致心肌收縮力降低,逐漸出現心腔擴張,稱為離心性肥大(eccentric hypertrophy)。嚴重者可發生心力衰竭。

圖8-11 高血壓病時左心室向心性肥大(心臟橫斷面)
左心室壁增厚,乳頭肌顯著增粗
3.腎的病變 表現為原發性顆粒性固縮腎,為雙側對稱性、彌漫性病變。
肉眼觀,腎體積縮小,質地變硬,重量減輕,一側腎重量一般小于100g(正常成年人一側腎重約為150g)。表面布滿無數均勻的紅色細顆粒。切面,腎皮質變薄,一般在2mm左右(正常厚3~5mm)。髓質變化不明顯,但腎盂和腎周圍脂肪組織明顯增生。
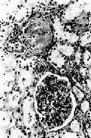
鏡檢下,腎細動脈硬化明顯,小葉間動脈及弓形動脈內膜增厚。依病程而有多少不等的入球動脈及腎小球發生玻璃樣變(圖8-12)。附近的腎小管由于缺血而萎縮、消失,間質結締組織增生及淋巴細胞浸潤。該處由于腎實質萎縮和結締組織收縮而形成凹陷的固縮病灶,周圍健存的腎小球發生代償性肥大,所屬腎小管亦呈代償性擴張,使局部腎組織向表面隆起,形成肉眼所見的無數紅色細顆粒(由于該處血供良好而呈紅色)。

圖8-12 高血壓病之腎
腎小球入球小動脈管壁玻璃樣變性,腎小球纖維化,玻璃樣變
臨床上,可多年不出現腎功能障礙。晚期由于病變的腎單位越來越多,腎血流量逐漸減少,腎小球濾過率逐漸降低。患者可發生水腫、出現蛋白尿及管型。嚴重者可出現尿毒癥的臨床表現。
4.腦的病變 高血壓時,由于腦內細動脈的痙攣和病變,患者可出現不同程度的高血壓腦病(hypertensive encephalopathy)癥狀,如頭痛、頭暈、眼花等,甚至出現高血壓危象。患者有明顯的中樞神經癥狀,如意識模糊、劇烈頭痛、惡心、嘔吐、視力障礙及癲癇發作等。
(1)腦動脈病變:嚴重的病例細動脈和小動脈管壁可發生纖維素樣壞死,可并發血栓形成及微動脈瘤(microaneurysm)。后者好發于殼核、丘腦、腦橋、小腦和大腦,這些部位也是高血壓性腦出血及腦梗死發生率最高之處。
(2)腦軟化:由于細動脈、小動脈病變造成其所供養區域腦組織缺血的結果,腦組織內可出現多數小軟化灶,即微梗死灶(microinfarct)。鏡檢下,梗死灶內腦組織壞死液化,形成染色較淺、質地疏松的篩網狀病灶。灶內可見壞死的細胞碎屑,周圍有膠質細胞增生及少量炎性細胞浸潤。最后,壞死組織被吸收,由膠質瘢痕修復。由于軟化灶較小,一般不引起嚴重后果。
(3)腦出血:是高血壓最嚴重的且往往是致命性的并發癥。多為大出血灶,常發生于基底節、內囊,其次為大腦白質、腦橋和小腦。出血區域的腦組織完全被破壞,形成囊腔狀,其內充滿壞死的腦組織和凝血塊。有時出血范圍甚大,可破入側腦室(圖8-13)。引起腦出血的原因一方面由于細、小動脈的病變,另一方面,腦出血多發生于基底節區域(尤以豆狀核最多見),供養該區的豆紋動脈從大腦中動脈呈直角分出,直接受到大腦中動脈壓力較高的血流沖擊,易使已有病變的豆紋動脈破裂出血。此外,血壓突然升高(如情緒激動時)亦易使病變的動脈破裂出血。臨床上,患者常驟然發生昏迷、呼吸加深和脈搏加快。嚴重者可發生陳-施(Cheyne-Stokes)呼吸、瞳孔反射及角膜反射消失、肢體弛緩、肌腱反射消失、大小便失禁等癥狀。出血灶擴展至內囊時,引起對側肢體偏癱及感覺消失。出血灶破入側腦室時,患者發生昏迷,常導致死亡。左側腦出血常引起失語,腦橋出血可引起同側面神經麻痹及對側上下肢癱瘓。

圖8-13 高血壓病之腦出血
大腦左側內囊出血并破入側腦室
5.視網膜的病變 視網膜中央動脈亦常發生硬化。眼底鏡檢查可見這些血管迂曲,顏色蒼白,反光增強,呈銀絲樣改變。動、靜脈交叉處靜脈呈受壓現象。嚴重者視乳頭發生水腫,視網膜滲出和出血,患者視物模糊。
(二)惡性高血壓
惡性高血壓(malignant hypertension)又稱為急進型高血壓,可由良性高血壓惡化而來,或起病即為急進性。病理變化主要見于腎和腦。
1.腎的變化 鏡檢下,可見細動脈壞死(arteriolonecrosis)(纖維素樣壞死),壞死累及內膜和中膜,并有血漿成分內滲(insudation),使管壁極度增厚。HE染色切片上,受累血管壁呈嗜伊紅性和折光性,免疫組織化學檢查證明其中含有纖維蛋白、免疫球蛋白、補體。可見核碎片,但炎性細胞浸潤極少見。有時可見到壞死性細動脈炎,在壞死的血管壁及周圍有單核細胞及中性粒細胞浸潤,但這種動脈炎不累及弓形動脈及葉間動脈。入球動脈壞死常波及腎小球,使腎小球毛細血管叢發生節段性壞死。細動脈壞死常并發血栓形成,可引起出血及微梗死。小動脈的變化頗具特征性,表現為增生性動脈內膜炎(proliferative endarteritis),內膜顯著增厚,其內有多數SMC增生,并呈向心性排列,形成層狀蔥皮樣病變。SMC產生大量膠原及蛋白多糖,管腔陷于高度狹窄。然而,這些變化并非惡性高血壓所特有,類似的變化亦見于腎移植慢性排斥反應、進行性系統性硬化等。肉眼觀,腎表面平滑,可見多數出血點,切面可見多數斑點狀微梗死灶。
2.腦的變化 腦的細、小動脈亦可發生同樣病變,常引起局部缺血、微梗死和腦出血。
臨床上,有嚴重的高血壓,血壓值超過30.66/17.3kPa(230/130mmHg)。可發生高血壓腦病。常有持續蛋白尿、血尿及管型尿。患者多于一年內因尿毒癥、腦出血或心力衰竭致死。
